Upregulation of ERK-EGR1-heparanase axis by HDA...
Erythroid Differentiation Regulator 1 as a Nove...
Identification and expression analysis of EDR1-...
Erythroid Differentiation Regulator 1, an Inter...
Validation of the sensing performance of the in...
55216-2H00X-FFF FEBEST, TRISCAN | 552162H00XFFF...
ER1G_4114168.PDF Datasheet Download --- IC-ON-LINE
Phylogenetic relationships and gene structure o...
Antioxidants | Free Full-Text | Erythroid Diffe...
HYAB-EDR1 - FEBEST REAR KNUCKLE BUSHING Febest ...
ERAP1-ERAP2 dimers trim MHC I-bound precursor p...
Ehd1, a B-type response regulator in rice, conf...
Time-frequency representation of EDR1 signal. |...
EDR-1-1-20 Datasheet(PDF) - Highly Electric Co....
UFMylation Of HRD1 Regulates Endoplasmic Reticu...
Figure 1 from The CEL-HYB1 Hybrid Allele Promot...
EDR1
ERD1A and ERD1B complemented the yeast erd1 phe...
сайлентблок задн цапфы HYAB-EDR1 купить c доста...
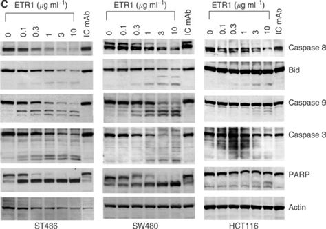
HGS-ETR1, a fully human TRAIL-receptor 1 monocl...
Mussab M Hamid on LinkedIn: Accelerate XDR Outc...
Control strategy of the EHDR-EEB. PH: the press...
Erythroid differentiation of HUDEP-1 cells. (A)...
hERG1a N-terminal eag domain-containing polypep...
Therapeutic effect of erythroid differentiation...