Тактика при переломе лучевой кости, в том числе...
Перелом лучевой кости – причины, симптомы, диаг...
Как лечить перелом лучевой кости - Травматолог ...
Первая помощь при переломе лучевой кости в типи...
Перелом лучевой кости со смещением возле запяст...
Курс "упражнения для восстановления после перел...
Перелом лучевой кости – диагностика и лечение
Перелом лучевой кости 2 января случился перелом...
Перелом лучевой кости со смещением в типичном м...
Перелом лучевой кости: симптомы, сроки лечение,...
Повязка на руку при переломе: бандаж, косынка, ...
Перелом лучевой кости со смещением - Вопрос орт...
Чем опасен перелом лучевой кости запястья | Мед...
Перелом лучевой кости на руке - Вопрос ортопеду...
Перелом головки лучевой кости локтя лечение и в...
Бандаж на руки при переломе, поддерживающие кос...
Перелом лучевой кости, шиловидного отростка лок...
Перелом руки: пластиковый гипс при переломе луч...
Перелом лучевой кости в типичном месте, когда н...
Перелом лучевой кости со смещением - методы леч...
Упражнения для реабилитации после перелома луче...
Припухлость после перелома лучевой кости Перело...
Перелом лучевой кости: виды, причины и лечение
ПЕРЕЛОМ ЛУЧЕВОЙ КОСТИ В ТИПИЧНОМ МЕСТЕ. ДИАГНОС...
Бандаж при Переломе Лучевой Кости – купить в ин...
Необычный бандаж при переломе руки. - YouTube
Перелом лучевой кости руки
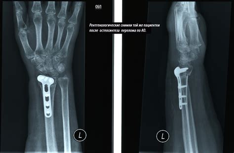
Техника операции остеосинтеза пластиной при дис...
Выкройка бандажа при переломе руки
Перелом лучевой кости. ЛФК и ЛУЧШИЕ СОВЕТЫ для ...